Smilemaker Dental Care is now practising as Kent Smile Studio. Contact us on 01689 823 280







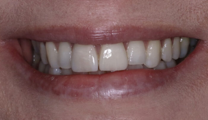
Veneers are fitted over the front of the tooth and can be used to repair the appearance of your natural teeth.
Veneers are made of a highly durable, natural looking porcelain designed to mimic the shade of natural teeth. You can choose to either match your veneers to the rest of your teeth or go a shade (or two) whiter for a brighter finish.
Veneers usually last between 10 and 15 years.
First, we’ll have to shape your teeth which involves removing the outer layer of enamel. Then, we’ll take an impression so that your new veneers perfectly fit your teeth.
Your bespoke veneers will be made by a qualified lab technician, and we’ll fit you with a temporary set while we wait for them to be prepared.
Once the veneers are with us here at SmileMaker Dental Care, you’ll come back into the practice for the rest of the treatment. In order for the veneers to stay in place, we apply a special cement which is then hardened via a special light.
We offer wrinkle correction consultation as part of our range of facial aesthetic treatments.
Learn MoreTeeth-whitening is an increasingly popular treatment designed to leave the teeth whiter and brighter than before.
Learn MoreWe can help also produce the smile you’ve been dreaming by developing a treatment plan for you.
Learn More5 Sevenoaks Road Orpington Kent BR6 9JH
