Smilemaker Dental Care is now practising as Kent Smile Studio. Contact us on 01689 823 280
























We offer wrinkle correction consultation as part of our range of facial aesthetic treatments.
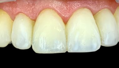
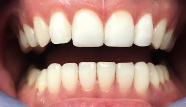
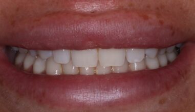
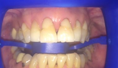
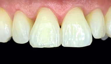
Learn MoreTeeth-whitening is an increasingly popular treatment designed to leave the teeth whiter and brighter than before.
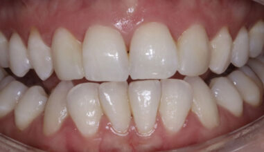
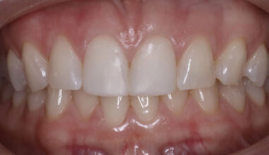
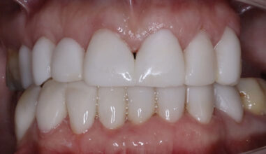
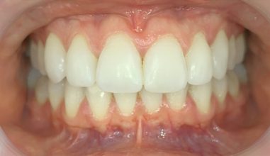
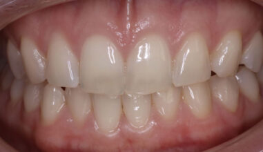
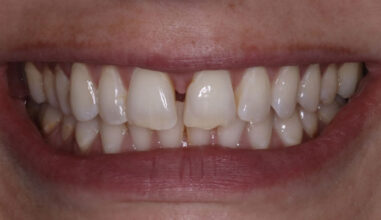
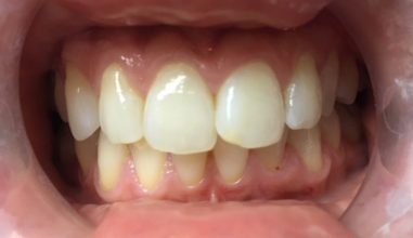
Learn MoreWe can help also produce the smile you’ve been dreaming by developing a treatment plan for you.
Learn More5 Sevenoaks Road Orpington Kent BR6 9JH
